Health Information and Tools > Medications >  X-Ray of a Normal Chest

Main Content

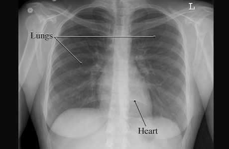
X-Ray of a Normal Chest

Image of a normal chest

Courtesy of Intermountain Medical Imaging, Boise, Idaho.

This is a picture of a normal chest X-ray of a woman showing the air-filled spaces of the lungs and the more solid grey shape of the heart. The lungs and heart are normal in size and shape.

Current as of: July 31, 2024

Author: Ignite Healthwise, LLC Staff
Clinical Review Board
All Ignite Healthwise, LLC education is reviewed by a team that includes physicians, nurses, advanced practitioners, registered dieticians, and other healthcare professionals.

Current as of: July 31, 2024

Author: Ignite Healthwise, LLC Staff

Clinical Review Board
All Ignite Healthwise, LLC education is reviewed by a team that includes physicians, nurses, advanced practitioners, registered dieticians, and other healthcare professionals.

This information does not replace the advice of a doctor. Ignite Healthwise, LLC, disclaims any warranty or liability for your use of this information. Your use of this information means that you agree to the Terms of Use. Learn how we develop our content.