Main Content

Seizure MRI

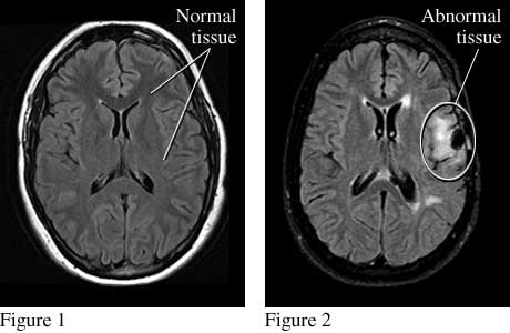
Images of normal brain tissue and abnormal brain tissue that causes seizures.

Courtesy of Intermountain Medical Imaging, Boise, Idaho. All rights reserved.

Top views of the brain show normal tissue (see figure 1) and abnormal tissue (from an injury) that causes seizures (see figure 2).

Current as of: December 3, 2024

Author: Ignite Healthwise, LLC Staff
Clinical Review Board
All Ignite Healthwise, LLC education is reviewed by a team that includes physicians, nurses, advanced practitioners, registered dieticians, and other healthcare professionals.

Current as of: December 3, 2024

Author: Ignite Healthwise, LLC Staff

Clinical Review Board
All Ignite Healthwise, LLC education is reviewed by a team that includes physicians, nurses, advanced practitioners, registered dieticians, and other healthcare professionals.

This information does not replace the advice of a doctor. Ignite Healthwise, LLC, disclaims any warranty or liability for your use of this information. Your use of this information means that you agree to the Terms of Use. Learn how we develop our content.