Health Information and Tools > Tests & Treatments >  Angiogram of the carotid artery

Main Content

Angiogram of the carotid artery

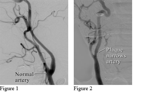
Angiograms of a normal neck artery and a neck artery narrowed by plaque.

Courtesy of Intermountain Medical Imaging, Boise, Idaho.

Figure 1 shows an angiogram (a type of X-ray) of a normal neck artery (carotid artery) with smooth walls. Figure 2 shows a carotid artery that is narrowed by a substance called plaque that builds up in the artery.

Current as of: July 31, 2024

Author: Ignite Healthwise, LLC Staff
Clinical Review Board
All Ignite Healthwise, LLC education is reviewed by a team that includes physicians, nurses, advanced practitioners, registered dieticians, and other healthcare professionals.

Current as of: July 31, 2024

Author: Ignite Healthwise, LLC Staff

Clinical Review Board
All Ignite Healthwise, LLC education is reviewed by a team that includes physicians, nurses, advanced practitioners, registered dieticians, and other healthcare professionals.

This information does not replace the advice of a doctor. Ignite Healthwise, LLC, disclaims any warranty or liability for your use of this information. Your use of this information means that you agree to the Terms of Use. Learn how we develop our content.